Терапия
Отбеливание зубов
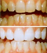
Кто не мечтает иметь красивую, белоснежную улыбку? Белизна зубов говорит о здоровье и молодости человека. Именно поэтому люди стараются всеми возможными способами осветлить зубы. К подобным способам относится использование отбеливающих паст. Стоит сразу отметить тот факт, что эти меры, крайне вредны для твердых тканей зубов.
Основной эффект отбеливающих зубных паст основан на действии так называемых абразивных веществ, которые царапают эмаль, а так же способствуют выходу минералов из зуба. Все это приводит к развитию повышенной чувствительности зубов и истиранию твердых тканей зуба с образованием дефекта в пришеечной области. Одним словом, ничего положительного в отбеливающих пастах нет. Но в том случае, если Вы все-таки применяете подобные средства гигиены, то помните, что их использование должно быть строго ограниченно, а именно не более одного месяца.
Стоматологи против отбеливающих зубных паст, но они понимают желание людей иметь белые зубы. Именно поэтому они рекомендуют использование профессиональных отбеливающих систем, для достижения желаемого результата. При использовании профессиональных средств для отбеливания зубов, стоматологи могут предотвратить все возможные осложнения, а так же предсказать тот или иной результат процедуры.
Не смотря на то, что отбеливание зубов это не лечебная, а имиджевая процедура, она должна проходить под строгим контролем специалиста. Так же стоит учитывать тот факт, что существует категория людей, имеющих противопоказания к данной манипуляции, именно поэтому необходима консультация врача по этому поводу.
Различают два вида отбеливания – офисное или клиническое и домашнее.
Смысл в том, что офисное отбеливание зубов проводиться в стоматологическом кресле и занимает по времени чуть больше часа. А домашнее отбеливание проводиться самим пациентом в домашних условиях с помощью специальных капп и по времени может занимать от 1 до 3 недель. И к тому, и к другому отбеливанию необходима специальная, так называемая подготовка зубов, которую проводит стоматолог. Сначала, в обязательном порядке необходима профессиональная гигиена полости рта, а затем активная реминерализационная терапия для снижения риска возникновения чувствительности зубов, что часто наблюдается при любом отбеливании зубов.

Разница отбеливающего эффекта зубных паст и профессиональных средств заключается, во-первых, в результате, а во-вторых, в безопасности и вредного действия на зубы.
Врачи считают, что качественно провести отбеливание зубов можно только в поликлиниках, так как эта процедура не считается полезной. Естественно, при отбеливании, зубная эмаль страдает. И не только эмаль. Если пользоваться самостоятельно отбеливающими средствами, продающимися в аптеках и магазинах, то можно изменить и микрофлору рта. Ведь даже отбеливающими пастами врачи рекомендуют пользоваться не чаще, чем два раза в неделю. В результате отбеливания увеличивается чувствительность зубов к горячему, к холодному, кислому, сладкому. Может наблюдаться эффект раздражения десен. Бывают моменты, когда зубы переотбеливаются и становятся матовыми, не естественными.
После отбеливания зубов нужно избегать красящей пищи (яркие овощи, вино, чай, кофе и так далее) иначе можно получить цвет зубов совсем неожиданный. Курева так же надо избегать. Как и при каждой медицинской процедуре, здесь есть свои противопоказания. Врачи стоматологи рекомендуют отбеливать зубы людям не моложе 18-20 лет. Нельзя проводить эту процедуру тем, у кого повышенная чувствительность зубов, беременным и кормящим мамам, при сахарном диабете, при онкологических заболеваниях, при пародонте, кто носит брекеты, при нервно психических заболеваниях, у кого есть кариес. Очень важно учитывать, если у Вас много пломб и коронок, то сначала проводиться отбеливание, а затем перепротезирование. Изменить цвет пломб можно только внешним покрытием.













