Стоматология "Эстетдент"

г.Могилев,

ул.Пионерская, д.12/25, офис 12

Как нас найти

Предварительная запись:

Тел.:8-0222-76-70-02

Тел.:8-029-655-23-57; 8-029-652-14-28

E-mail: www.estetdentby@mail.ru

АКЦИИ И СКИДКИ

Акции и скидки стоматология в могилеве

ЗУБОТЕХНИЧЕСКАЯ ЛАБОРАТОРИЯ

ЗУБОПРОТЕЗНАЯ ЛАБОРАТОРИЯ стоматология в могилеве

ЛЕЧЕНИЕ В КРЕДИТ

Лечение в кредит стоматология в могилеве

Эстетдент в Контакте
Подарочный сертификат
Сертификат на бесплатный осмотр и консультацию стоматология в могилеве
Программа АНТИСПИД

Программа АНТИСПИД стоматология в могилеве

Реклама

Яндекс.Метрика

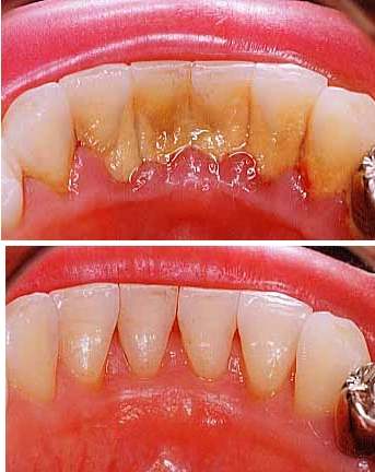
Удаление зубного камня

Каждый старается соблюдать гигиену полости рта, к которой нас приучили еще в далеком детстве. Но даже регулярная чистка зубов даже с использованием дорогостоящих паст не может полностью избавить от зубного камня, налёта и красящих пигментов принимаемой пищи.

Зубной камень очень часто вызывает кровоточивость десен и неприятный запах изо рта (галитоз), и является прямым следствием развития пародонтита и пародонтоза.

Для профилактики заболеваний зубов и десен, вызванных скоплением бактерий в зубном камне, необходимо делать профессиональную чистку зубов в стоматологической поликлинике.

Удаление зубного камня ультразвуком:

Затвердевший зубной камень снимается вибрационным методом с помощью ультразвукового скайлера. Эмаль и десны при этом не повреждаются.

Профессиональная чистка зубов производится с помощью аэрозоля, состоящего из воды и абразивного вещества распыляющегося направленной струей. Этот метод предпочтителен для людей, пользующихся ортодонтическими аппаратами или при зубах, плотно прилегающих друг к другу. В результате такой процедуры зубы становятся белее, осветляясь до своего естественного цвета, обычно достигнутый эффект, удовлетворяет пациента, но также можно отбеливать зубы до абсолютно белого цвета.  Кстати, нужно заметить, что удаление зубного камня ультразвуком позволяет постоянно сохранять истинный цвет зубов.

Затем зубы полируют и покрывают фторсодержащим составом. Полировка делается с помощью абразивной пасты. При этом полируются не только зубы, но и ранее установленные пломбы.

Заключительный этап профессиональной чистки зубов – нанесение лака или геля, содержащего фтор. Это делается для повышения прочности эмали зубов и профилактики кариеса.

Удаление зубного камня

Добро пожаловать в стоматологию в Могилеве "Эстетдент"!

Мы оказываем широкий спектр стоматологических услуг по лечению и протезированию зубов.

Поиск по сайту
ФОТОГАЛЕРЕЯ

Notice: Undefined property: JDocumentRendererModule::$slideshowboxposition in /var/www/estetden/data/www/estetdent.by/modules/mod_slideshow_pro/helper.php on line 150
  • Кабинет стоматологии "Эстетдент" стоматология в могилеве
  • Кабинет стоматологии "Эстетдент" стоматология в могилеве
  • Кабинет стоматологии "Эстетдент" стоматология в могилеве
  • Кабинет стоматологии "Эстетдент" стоматология в могилеве
  • Кабинет стоматологии "Эстетдент" стоматология в могилеве
Выбрать язык
Ссылки

Могилев, ул. Пионерская, д. 12/25, офис 12. 
Стоматологический кабинет "Эстетдент"

Телефон/факс: 8-0222-76-70-02

E-mail: www.estetdentby@mail.ru

Доступная стоматология в Могилеве!

Бесплатные объявления Казахстана - Freeads.kz Каталог TUT.BY стоматология могилев Яндекс цитирования Аптеки, лекарства, медучреждения Рейтинг@Mail.ru Akavita