Услуги стоматологии "Эстетдент"
Терапия
Терапевтическая стоматология - это одна из отраслей стоматологии занимающаяся в основном профилактикой и лечением кариеса и его осложнений. К осложнениям кариеса относятся такие заболевания как пульпиты, то есть воспаление пульпы или как принято говорить воспаление нерва, периодонтиты, характеризующиеся наличием воспалительного процесса в периапикальных тканях. Кроме кариеса и его негативных последствий, существует группа некариозных заболеваний зубов, лечением которых занимается врач стоматолог-терапевт.
Лечебное пломбирование
Пломбирование зубов чаще всего применяется при лечении кариеса. Пломба обеспечивает восстановление формы зуба и его функций.
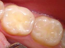
Эстетическое пломбирование
Отбеливание зубов
Кто не мечтает иметь красивую, белоснежную улыбку? Белизна зубов говорит о здоровье и молодости человека. Именно поэтому люди стараются всеми возможными способами осветлить зубы.
Съемное протезирование
Этот вариант подходит для пожилых людей, у которых собственные зубы отсутствуют полностью или частично. Выглядят такие протезы очень естественно и визуально практически не отличаются от коронок. Изготавливаются из безопасного и прочного материала.
Несъемное протезирование
Представляет собой не что иное, как различные виды коронок. Если раньше наиболее распространенным материалом для несъемного протезирования зубов являлась металлокерамика, то сегодня все больше используются коронки, каркас которых выполнен из оксида циркония или оксида алюминия.
Реставрация зубов
Восстановление зубов – это совершенно безболезненная процедура, направленная на реставрацию поврежденного зуба. Красивые зубы – мечта каждого человека. Однако наши зубы не всегда идеальны. Время и различные жизненные ситуации оставляют на них свой отпечаток. И наступает момент, когда приходится подумать о восстановлении зубов.
ИмплантацияИмплантация зубов – настоящее спасение для тех, кто потерял зубы в неравной борьбе со стрессами и временем. Согласитесь, что здоровые, ровные, белоснежные зубы – это важнейшая часть имиджа современного успешного человека. Если уж вы потеряли зуб, то здесь нужны радикальные меры. Отсутствует хотя бы один зуб – и вы чувствуете себя скованно, неуверенно, не говоря уже о том, что это вредно для остальных зубов: нагрузка при жевании распространяется неравномерно.
Лечение десенПрактически у каждого второго пациента, обращающегося за стоматологической помощью, имеются проблемы с деснами, а точнее с пародонтом. Эти проблемы могут быть различной выраженности и тяжести, начиная от гингивита и заканчивая пародонтозом. В чем же причина заболевания десен?
МикропротезированиеИспользуется врачом-ортопедом при незначительных разрушениях зубов.
Удаление зубного камняКаждый старается соблюдать гигиену полости рта, к которой нас приучили еще в далеком детстве. Но даже регулярная чистка зубов даже с использованием дорогостоящих паст не может полностью избавить от зубного камня, налёта и красящих пигментов принимаемой пищи. Зубной камень очень часто вызывает кровоточивость десен и неприятный запах изо рта (галитоз), и является прямым следствием развитияпародонтита и пародонтоза. Для профилактики заболеваний зубов и десен, вызванных скоплением бактерий в зубном камне, необходимо делать профессиональную чистку зубов в стоматологической поликлинике.
|







Эстетическое пломбирование уверенно входит в нашу жизнь. И уже не нужно думать о том, что ваша внешность безнадежна из-за того, что зубы неровные, покрыты пятнами и между ними большие промежутки. Все эти дефекты вполне можно ликвидировать при помощи современных методик эстетического пломбирования зубов.











